Open Access
REVIEW
Congenital Absence of Pericardium: The Largest Systematic Review in the Field on 247 Worldwide Cases (1977-Now)
1 Mater Misericordiae University Hospital, National Adult Congenital Heart Disease Service, Dublin, D07 R2WY, Ireland
2 Children’s Health Ireland Crumlin, Dublin, Ireland
3 School of Medicine, University College of Dublin, Dublin, Ireland
4 Advanced Cardiovascular Imaging Unit, Bambino Gesù Children’s Hospital, IRCCS, Rome, Italy
5 Department of Cardiac Surgery, Cardiology, Heart and Lung Transplantation Bambino Gesu’ Children’s Hospital, IRCCS, Rome, Italy
6 Adult Congenital Heart Disease UNIT, Paediatric and Adult Congenital Heart Centre, IRCCS-Policlinico San Donato, San Donato Milanese, Milan, Italy
7 School of Medicine, Vita Salute San Raffaele University, Milan, Italy
8 Division of Cardiology and CardioLab, Department of Clinical Sciences and Translational Medicine, University of Rome Tor Vergata, Rome, Italy
* Corresponding Author: Pier Paolo Bassareo. Email:
Congenital Heart Disease 2023, 18(6), 595-610. https://doi.org/10.32604/chd.2023.046229
Received 23 September 2023; Accepted 17 November 2023; Issue published 19 January 2024
Abstract
Background: Congenital absence of pericardium (CAP), also known as pericardial agenesis, represents an uncommon cardiac abnormality and mostly incidental finding. It can be subdivided into complete and partial (left or right-sided) forms. Because of its infrequency, just case reports and a few case series have been released so far. This paper represents the largest systematic review in the field. Nine features (age at diagnosis, type, gender, clinical presentation, electrocardiography, imaging (ultrasounds, CT/MRI), concomitant cardiac defects, and outcome) were analysed. Methods: The electronic database PubMed was investigated from its establishment up to July 15th, 2023. Just case reports and case series were included. Animal studies, papers that were not in English, Spanish, and Italian, and those manuscripts not reporting at least seven of the nine analysed features. were ruled out. The analysed data were reported mostly in terms of percentage. Results: One hundred eighty studies were included encompassing 247 patients. More than half of reviewed CAP cases were in males (63.2%). The mean age at diagnosis was 31.8 ± 19.3 years; a range of 32 weeks of gestation-81 years). 23.5% of the patients did not report any symptoms. The most common clinical presentations were chest pain (35.2%) and dyspnoea (29.2%). The most commonly seen ECG changes were right axis deviation (28.7%) and right bundle branch block (23.9%). CAP was suspected or diagnosed by echocardiography in 20.1% of cases. The diagnosis was made by CT and/or MRI in 61.9% of cases. CAP was left-sided in 71.2%, complete in 23.1%, and right-sided in 5.7%. A concomitant congenital heart defect was found in 22.7%, especially in the form of atrial septal defect (6.5%) and patency of ductus arteriosus (2.8%). The pericardial repair was required in 12.9% of the incomplete forms of the disease. Never did the complete form require surgical correction. The outcome appeared favourable in the vast majority of cases, with just 18 deaths (7.3%). Discussion: The main limitation of this systematic review is that it is based just on case reports and case series, due to the lack of large studies on CAP. However, it represents the largest analysis in the field. Due to the rarity of CAP establishing an International Registry is recommended.Keywords
Supplementary Material
Supplementary Material FileCongenital absence of pericardium (CAP), which is also known as pericardial agenesis, is an extremely uncommon cardiac abnormality occurring in less than 1/10,000 [1–3]. The first report dates back to 1559 [4]. Regarding embryology, incomplete development of the pleuro-pericardial membranes, fusing at the midline, and separating the pericardial and pleural cavities, leads to complete or partial CAP. Partial pericardial agenesis is more common than complete agenesis [5]. Left-sided CAP occurs in approx.70% of cases, right-sided CAP in about 17%, and complete bilateral CAP just in 9% of cases [6]. CAP is sometimes linked with other congenital cardiac malformations [7]. CAP is at times suspected with echocardiography, but diagnosis needs to be refined with CT or cardiac MRI [8]. Clinical presentation is extremely variable: some patients are asymptomatic, whereas others report chest discomfort, shortness of breath, irregular heartbeats, and fainting episodes [9]. However, a few reports of sudden death have been published mostly in subjects with partial pericardial agenesis [10].
Because of its infrequency, just single case reports and small case series have been released in literature so far.
This paper aims to systematically review the available literature regarding CAP with associated characteristics and outcomes.
The electronic database PubMed was investigated from its establishment up to July 15th 2023. The MeSH (Medical Subject Headings) search terms “case report” and/or “case series” and/or “absent pericardium” and/or “absence of pericardium” and/or “pericardial agenesis” were investigated. We ruled out animal studies, papers which were not in English, Spanish, and Italian, and those manuscripts not reporting at least seven of the nine analysed features (age, gender, symptoms, electrocardiographic characteristics, echocardiography, CT/MRI, partial or complete absence, association with other congenital heart disease, and outcome).
According to the PRISMA approach, each author checked the shortlisted abstracts and judged whether they were appropriate. Full-texts were read when all the involved reviewers thought that the abstract might fulfill the previously chosen inclusion criteria.
Data from the chosen single case reports and case series were extracted. The analysed features were: age at diagnosis, sex, clinical presentation, electrocardiography, imaging (echocardiography, CT scan and cardiac MRI), accompanying cardiac defects, and outcome.
Overall, 2,325 potential single case reports or case series of CAP were detected on PubMed. Ninety-seven were identical. Other manuscripts were ruled out following abstract and title check. The remaining 517 papers were further assessed. After screening, 180 papers were included in the analysis of the patients’ characteristics and illness outcome [11–190] (see Supplementary Table S1).
A flow chart of the study selection process is showed in Table 1.

Data were introduced in the form of mean ± standard deviation. Chi square and Mann-Whitney U tests were used to evaluate statistical significance when required. Statistical significance was set to p < 0.05. All statistical analysis was performed using SPSS for Windows version 22.0 (SPSS Inc., Chicago, Il, USA).
More than a half of CAP cases were in males (63.2%; male-to-female ratio 1.7:1). Mean age at diagnosis was 31.8 ± 18.3 years; range 32 weeks-81 years). In males the mean age at diagnosis was 34.1 ± 20.0 years, whereas female patients were slightly younger (29.5 ± 16.6 years) at diagnosis. This difference was statistically significant (p < 0.05). Fifty-eight patients were asymptomatic (23.5%). The most usual clinical presentations were chest pain (35.2%) and dyspnoea (29.2%). No statistically significant differences were detected between genders as regard to symptoms (p = ns). See Table 2 for statistical significance.

The most commonly detected ECG changes were right axis deviation (28.7%), (complete or incomplete) right bundle branch block (23.9%), and poor R wave progression in the precordial leads (12.5%). CAP was suspected or diagnosed by echocardiography in 20.1% of cases. Diagnosis was made by computed tomography and/or cardiac magnetic resonance imaging in 61.9% of cases. CAP was left-sided in 71.2%, complete in 23.1%, and right-sided in 5.7%. A concomitant congenital heart defect was detected in 22.7%, mostly in the form of atrial septal defect (6.5%) and patency of ductus arteriosus (2.8%). Pericardial repair was required in 12.9% of the incomplete forms of the disease. Never the complete form required surgical correction. The outcome was almost entirely favourable: just 18 deaths (7.3%) occurred. However, the majority of them were due to comorbidities rather than to CAP itself.
See Figs. 1–3 for a description of the diagnostic criteria.

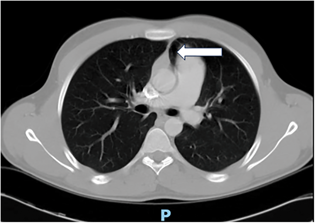
Figure 1: Computed tomography scan showing a tongue of lung tissue between the aorta and main pulmonary artery (white arrow). This is typical of CAP. The aortopulmonary window is usually bounded by pericardium and contains fat (previously unpublished image belonging to the authors)

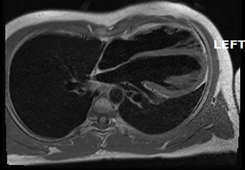
Figure 2: Cardiac magnetic resonance (axial view, T 1 weighed image) showing that the heart is rotated toward the left (previously unpublished image belonging to the authors)

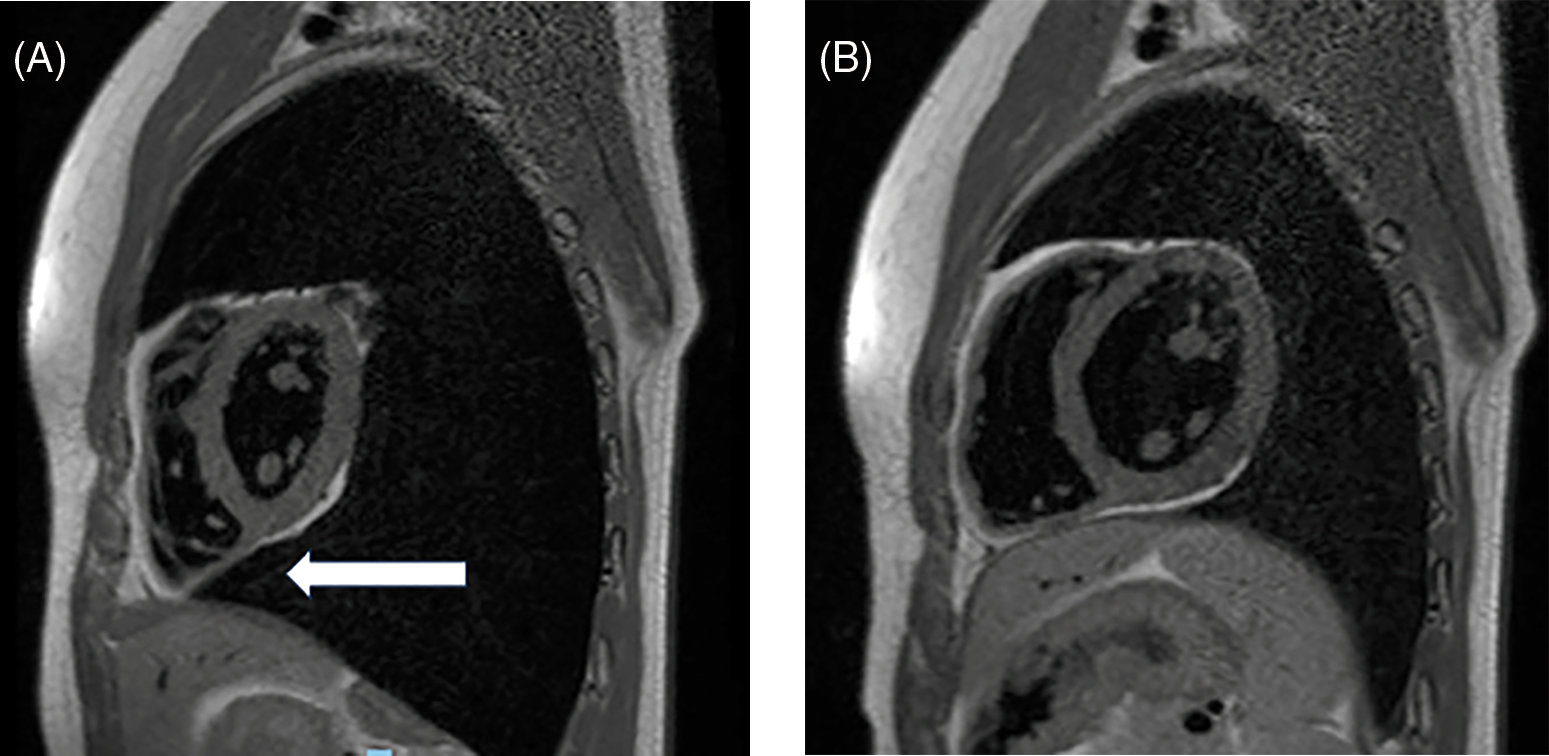
Figure 3: Cardiac magnetic resonance (sagittal views, T 1 weighed images) during inspiration (panel A) and expiration (panel B) displaying the lung interposing under the heart and extending between the cardiac inferior surface and the left diaphragm (see white arrow. Previously unpublished images belonging to the authors)
CAP is a rare condition that as of 2023 has been reported in only approx. 500 cases. Its embryology is somewhat controversial. The most common forms of CAP are seen on the left side and are supposed to be due to the early atrophy of the left common cardinal vein or duct of Cuvier (5th–6th week of embryogenesis) [191], thus compromising the hematic supply to the left pleuro-pericardial fold [71]. Conversely, the right duct of Cuvier leads to the superior vena cava, which ensures that the developing right pleuro-pericardial membrane has a sufficient hematic supply [71]. This is the most widely accepted embryological theory. Other hypotheses are that CAP is caused by the heart enlarging before the fusion of the pleuro-pericardial membranes or by a tear induced by traction contributing to a defect in the pericardium [192,193].
Two hundred and forty-seven cases have been analysed in this systematic review as they are the only ones sharing the required features in terms of reporting age, gender, symptoms, imaging, an extension of the defect, and association with other congenital heart diseases, outcome, and language. CAP can be detected at any age ranging from premature newborns to elderly patients. However, it is often detected incidentally during postmortem [71]. Our findings are consistent with that already reported in the literature about the male prevalence of the disease [71,194]. Some patients-most often those with complete CAP-are asymptomatic, but especially those with partial CAP may suffer from vague atypical chest pain which is thought to be caused by cardiac mobility, torsion, or traction of cardiac structures [82]. In extremely rare cases, the chest pain is angina-like or other symptoms can occur such as arrhythmias or syncope [69]. Some CAP patients also report shortness of breath lying to one side—a phenomenon called trepopnoea that is uniquely linked to partial defects [195]. A few cases of serious potentially lethal complications, including cardiac herniation of the left atrial appendage or left ventricle with muscle strangulation, blockage of vena caval return, and squeezing of the coronary arteries, have been described [71].
As regards electrocardiography, in partial CAP, ECG usually displays right axis deviation, poor R wave progression owing to clockwise rotation in the horizontal plane, incomplete right bundle branch block, and sometimes T wave inversion [63]. Concerning imaging, chest X-ray may display a leftward shift of the cardiac silhouette (“snoopy sign”) and a tongue of lung tissue interposing between the pulmonary trunk and the aorta [196]. A few cases were diagnosed because of the heart displacement to the left in the course of an ultrasound scan [197]. As such, parasternal views are often detected at the apical window, and the apical view is found on the mid-axillary line. On the modified parasternal view, the dilated right ventricle is linked to paradoxical or flat systolic motion of the interventricular septum and teardrop aspect of the left ventricle (e.g., an elongated tubular left ventricle), whilst on the modified apical view, stretched atria are identified along with bulbous ventricles [198]. Currently, the best modality imaging to make or confirm the diagnosis are CT and cardiac MRI [199]. Initially, fluoroscopy and the creation of a diagnostic pneumothorax were used to diagnose CAP. The risk of pneumothorax is no longer needed, as more sensitive techniques have made this technique obsolete [200].
CAP is a very uncommon defect varying from partial to complete agenesis. Differentiating partial from complete CAP is crucial because of the different symptoms and prognosis. This systematic review confirms that right-sided and complete CAP are rare, the left-sided being by far the most commonly seen subtype of the disease.
CAP can be isolated or be a part of a syndrome (most of all the pentalogy of Cantrell). The most commonly seen associated congenital heart defects are atrial septal defect and patency of ductus arteriosus.
Even though the pericardium exerts some functions, its integrity is not mandatory, and the vast majority of cardiothoracic surgeons advise leaving incidental CAP untreated. The indication for surgery depends on symptoms, size, and location [131]. Partial CAP is more at risk of herniation thereby its closure reduces the risk. Conversely, complete CAP usually has a benign course and no intervention is required [82]. Symptomatic CAP can be surgically treated by means of many techniques. Many of them can be safely managed by enlarging the defect with a longitudinal pericardiotomy. Primary closure, patch closure (pericardioplasty) by porcine or bovine pericardium or goretex or polytetrafluoroethylene have also been done. Surgery may cause adhesions restricting heart mobility. The phrenic nerve should be carefully taken into account as its usual course can be modified in CAP [71,201].
The main limitation of this systematic review is that it is based just on case reports and case series, due to the lack of large studies on CAP. However, it represents the largest analysis in the field. Due to the rarity of CAP establishing an International Registry is recommended [202].
Acknowledgement: None.
Funding Statement: The authors received no specific funding for this study.
Author Contributions: The authors confirm contribution to the paper as follows: study conception and design: conceptualization and methodology: P.P.B.; formal analysis: P.P.B., A.S., P.C., M.C., M.A.P., K.P.W.; writing—original draft preparation: P.P.B.; writing—review and editing: A.S., P.C., M.C., M.A.P., K.P.W.; supervision: C.M. All authors reviewed the results and approved the final version of the manuscript.
Availability of Data and Materials: As Supplementary Materials.
Ethics Approval: Not applicable.
Conflicts of Interest: The authors declare that they have no conflicts of interest to report regarding the present study.
Supplementary Materials: The supplementary material is available online at https://doi.org/10.32604/chd.2023.046229.
References
1. Faridah, Y., Julsrud, P. R. (2002). Congenital absence of pericardium revisited. International Journal of Cardiovascular Imaging, 18, 67–73. [Google Scholar] [PubMed]
2. Mashru, M. R., Amin, S. N., Desai, A. G., Daruwalla, D. F., Shah, K. D. (1985). Absent left pericardium. Journal of Association of Physicians India, 33, 539–541. [Google Scholar]
3. Southworth, H., Stevenson, C. S. (1938). Congenital defects of the pericardium. Archives of Internal Medicine, 61, 223–240. [Google Scholar]
4. Columbus, M. A. De re anatomica. In: Venice. [Google Scholar]
5. Glover, L. B., Barcia, A., Reeves, T. J. (1969). Congenital absence of the pericardium. A review of the literature with demonstration of a previously unreported fluoroscopic finding. American Journal of Roentgenology Radium Therapy and Nuclear Medicine, 106, 542–549. [Google Scholar] [PubMed]
6. Nasser, W. K. (1976). Congenital diseases of the pericardium. Cardiovascular Clinics, 7, 271–286. [Google Scholar] [PubMed]
7. Bremerich, J., Reddy, G. P., Higgins, C. B. (2000). Magnetic resonance image of cardiac structure. In: Pohost, G. M., O’Rourke, R. A., Berman, D., Shah, P. M. (Eds.Imaging in cardiovascular disease, vol. 409. Philadephia, USA: Lippincott Williams & Wilkins. [Google Scholar]
8. Khayata M., Haouzi A. A., Asher C. R., Xu B. (2023). Multimodality imaging approach evaluation of the congenital pericardial defect: A contemporary review. Current Cardiology Reports. https://doi.org/10.1007/s11886-023-02004-3 [Google Scholar] [PubMed] [CrossRef]
9. Lopez, D., Asher, C. R. (2017). Congenital absence of the pericardium. Progress in Cardiovascular Diseases, 59, 398–406. [Google Scholar] [PubMed]
10. Bennett, K. R. (2000). Congenital foramen of the left pericardium. Annals of Thoracic Surgery, 70, 993–998. [Google Scholar] [PubMed]
11. Pocock, W. A., Lakier, J. B., Benjamin, J. D. (1977). Billowing mitral valve syndrome in association with absent left pericardium: A case report. South African Medical Journal, 52, 813–816. [Google Scholar] [PubMed]
12. Baim, R. S., MacDonald, I. L., Wise, D. J., Lenkei, S. C. (1980). Computed tomography of absent left pericardium. Radiology, 135, 127–128. [Google Scholar] [PubMed]
13. Samuels, L. E., Sharma, S., Kaufman, M. S., Morris, R. J., Brockman, S. K. (1997). Absent pericardium during coronary bypass. Archives of Surgery, 132, 318–319. [Google Scholar] [PubMed]
14. Enad, J. G. (2002). Partial absence of pericardium in an endurance athlete. A case report. The Journal of Sports Medicine and Physical Fitness, 42, 89–91. [Google Scholar] [PubMed]
15. Yamaguchi, A., Yoshida, S., Ito, T. (2001). Cardiac displacement after lobectomy in a patient with a congenital complete left-sided pericardial defect. Japanese Journal of Thoracic and Cardiovascular Surgery, 49, 317–319. [Google Scholar]
16. Sivaprakasam, M. C., Narayanan, A., Vettukattil, J. J. (2006). Absent pericardium: At risk for endocarditis? Cardiology in the Young, 16, 182–183. [Google Scholar] [PubMed]
17. St Peter, S. D., Shah, S. R., Little, D. C., Calkins, C. M., Sharp, R. J. et al. (2005). Bilateral congenital diaphragmatic hernia with absent pleura and pericardium. Birth Defects Research Part A–Clinical and Molecular Teratology, 73, 624–627. [Google Scholar] [PubMed]
18. Tebruegge, M. O., Rennie, J. M., Haugen, S. E. (2005). Congenital absence of the pericardium associated with congenital diaphragmatic hernia and hepatic hemangioendothelioma: Case report and review of the literature. Pediatric Surgery International, 21, 557–559. [Google Scholar] [PubMed]
19. Correa-Rivas, M. S., Matos-Llovet, I., García-Fragoso, L. (2004). Pentalogy of cantrell: A case report with pathologic findings. Pediatric and Developmental Pathology, 7, 649–652. [Google Scholar] [PubMed]
20. Patel, Y., McNally, J., Ramani, P. (2007). Left congenital diaphragmatic hernia, absent pericardium, and liver heterotopia: A case report and review. Journal of Pediatric Surgery, 42, E29–31. [Google Scholar] [PubMed]
21. Kamath, G. S., Borkar, S., Chauhan, A., Chidanand, B., Kashyap, N. et al. (2010). A rare case of congenital diaphragmatic hernia with ectopic liver and absent pericardium. Annals of Thoracic Surgery, 89, e36–e37. [Google Scholar] [PubMed]
22. Verloes, A., Perrin, L., Delbecque, K., Gonzales, M., Demarche, M. et al. (2010). Congenital absence of the left pericardium and diaphragmatic defect in sibs. European Journal of Medical Genetics, 53, 133–135. [Google Scholar] [PubMed]
23. Leong, D. P., Chakrabarty, A., Brooks, A. G., Bridgman, C., Selvanayagam, J. B. (2009). Cardiac magnetic resonance findings in congenitally absent pericardium. Journal of the American College of Cardiology, 54, 2459. [Google Scholar] [PubMed]
24. Kumar, V., Yamada, T., Kay, G. N. (2013). Atrial fibrillation ablation in a patient with absent pericardium. Journal of Atrial Fibrillation, 6, 632. [Google Scholar] [PubMed]
25. Shimada, Y., Yoshida, J., Aokage, K., Hishida, T., Nishimura, M. et al. (2011). Complete left-sided pericardial defect in a lung cancer patient undergoing pneumonectomy without closure of the defect. Annals of Thoracic and Cardiovascular Surgery, 17, 67–70. [Google Scholar] [PubMed]
26. Bagabir, H. A., Azhar, A. S. (2014). Pentalogy of cantrell: First case reported in Saudi Arabia. Annals of Saudi Medicine, 34, 75–77. [Google Scholar] [PubMed]
27. Ono, S., Ichikawa, T., Iino, M., Yamada, Y., Sekiguchi, T. et al. (2015). Congenital pericardial defect: A case of right pericardial partial absence with normal parietal pleura. Japanese Journal of Radiology, 33, 153–156. [Google Scholar] [PubMed]
28. Ishii, M., Misumi, I., Honda, T., Komatsu, T. (2017). Triphasic mitral inflow pattern in a patient with congenital absence of the pericardium. Internal Medicine, 56, 2727–2732. [Google Scholar] [PubMed]
29. Arafat, A. A., Sallam, A. A., Abdelwahab, A. A., Taha, A. M. (2017). Primary repair of complete sternal cleft associated with absent anterior pericardium. Journal of Cardiac Surgery, 32, 316–317. [Google Scholar] [PubMed]
30. Cruz, P. J., Ong, H. Y., Ali, A. (2017). Swinging through life: A case of a pendulum heart. CASE, 1, 23–27. [Google Scholar] [PubMed]
31. Ignaszewski, M., Baturin, B., Waldman, B., Peters, P. (2020). Cardiac eclipse: Congenital absence of the pericardium manifesting as atypical chest pain. CASE, 4, 59–62. [Google Scholar] [PubMed]
32. Wang, X., Chen, H., Yang, L., Lu, C. (2020). Adult congenital diaphragmatic hernia with absent pericardium and liver heterotopia. European Journal of Cardiothoracic Surgery, 58, 867–869. [Google Scholar] [PubMed]
33. Bouchard, M., Hoschtitzky, A., Gatzoulis, M. (2019). Diagnosis and management of congenital absence of pericardium: A case report. European Heart Journal Case Reports, 3, 1–5. [Google Scholar] [PubMed]
34. Khazi, F. M., Abdel Aziz, T., Siddiqi, N. R., Karaly, Y., Aljassim, O. et al. (2020). Absent pericardium and lung hypoplasia in a child with severe mitral regurgitation. Asian Cardiovascular an Thoracic Annals, 28, 444–447. [Google Scholar] [PubMed]
35. Sempokuya, T., Lum, C. J., Veillet-Chowdhury, M., Rivera, K. (2019). A case report of congenitally absent pericardium masquerading as recurrent pericarditis. Hawaii Journal of Medicine and Public Health, 78, 137–140. [Google Scholar] [PubMed]
36. Castelletti, S., Crotti, L., Dagradi, F., Rella, V., Salerno, S. et al. (2020). Partial pericardial agenesis mimicking arrhythmogenic right ventricular cardiomyopathy. Clinal Journal of Sport Medicine, 30, e159–162. [Google Scholar]
37. Nikam, R., Rapp, J., Kandula, A., Puram, S., Saul, D. (2020). Congenital absence of pericardium. Annals of Pediatric Cardiology, 13, 373–374. [Google Scholar] [PubMed]
38. Jha, N. K., Talo, H., Kiraly, L., Shah, N., Al Hakami, A. et al. (2021). Malposition of septum primum in isolated dextrocardia: Unique and rare form of anomalous pulmonary venous return in association with partial absence of pericardium–case report. Journal of Cardiothoracic Surgery, 16, 211. [Google Scholar] [PubMed]
39. Ronka, E. K., Tessmer, C. F. (1944). Congenital absence of the pericardium: Report of a case. American Journal of Pathology, 20, 137–141. [Google Scholar] [PubMed]
40. Curling, T. B. (1839). Case of congenital absence of the pericardium. Medico-Chirurgical Transactions, 22, 222–230. [Google Scholar] [PubMed]
41. Bruning, E. G. (1962). Congenital defect of the pericardium. Journal of Clinical Pathology, 15, 133–135. [Google Scholar] [PubMed]
42. Borrie, J. (1969). Congenital complete absence of left pericardium report of two cases. Thorax, 24, 756–761. [Google Scholar] [PubMed]
43. Tubbs, O. S., Yacoub, M. H. (1968). Congenital pericardial defects. Thorax, 23, 598–607. [Google Scholar] [PubMed]
44. Kostiainen, S., Maamies, T. J. (1975). Congenital partial absence of the left pericardium. Annales Chirurgiae Gynaecologiae Fenniae, 64, 40–43. [Google Scholar]
45. D’Altorio, R., Cano, J. Y. (1977). Congenital abscence of the left pericardium detected by imaging of the lung: Case report. Journal of Nuclear Medicine, 18, 267–268. [Google Scholar] [PubMed]
46. Rees, J. R. (1977). Absence of the left pericardium, spontaneous pneumothorax, and patent ductus arteriosus. Cardiovascular Diseases, 4, 318–322. [Google Scholar] [PubMed]
47. Hermann, H., Raizner, A. E., Chahine, R. A., Luchi, R. J. (1976). Congenital absence of the left pericardium: An unusual palpation finding and echocardiographic demonstration of the defect. Southern Medical Journal, 69, 1222–1225. [Google Scholar] [PubMed]
48. Reginao, E., Speroni, F., Riccardi, M., Verunelli, F., Eufrate, S. (1980). Post-traumatic mitral regurgitation and ventricular septal defect in absence of left pericardium. Thoracic and Cardiovascular Surgery, 28, 213–217. [Google Scholar]
49. Kalekar T., Reddy L. P., Koganti D., Soman N. (2023). Pericardial agenesis–the wandering heart. The Egyptian Heart Journal, 75(1), 79. https://doi.org/10.1186/s43044-023-00405-x [Google Scholar] [PubMed] [CrossRef]
50. Inoue, H., Fujii, J., Mashima, S., Murao, S. (1981). Pseudo right atrial overloading pattern in complete defect of the left pericardium. Journal of Electrocardiology, 14, 413–418. [Google Scholar] [PubMed]
51. Chiariello, M., Indolfi, C., Condorelli, M. (1984). Congenital absence of the pericardium associated with atrial septal defect and sick sinus syndrome. International Journal of Cardiology, 5, 527–530. [Google Scholar] [PubMed]
52. Rowland, T. W., Twible, E. A., Norwood, W. I. Jr., Keane, J. F. (1982). Partial absence of the left pericardium. diagnosis by two-dimensional echocardiography. American Journal of Diseases of Children, 136, 628–630. [Google Scholar] [PubMed]
53. Nicolosi, G. L., Borgioni, L., Alberti, E., Burelli, C., Maffesanti, M. et al. (1982). M-mode and two-dimensional echocardiography in congenital absence of the pericardium. Chest, 81, 610–613. [Google Scholar] [PubMed]
54. Taysi, K., Hartmann, A. F., Shackelford, G. D., Sundaram, V. (1985). Congenital absence of left pericardium in a family. American Journal of Medical Genetics, 21, 77–85. [Google Scholar] [PubMed]
55. Gutierrez, F. R., Shackelford, G. D., McKnight, R. C., Levitt, R. G., Hartmann, A. (1985). Diagnosis of congenital absence of left pericardium by MR imaging. Journal of Computer Assisted Tomography, 9, 551–553. [Google Scholar] [PubMed]
56. Salem, D. N., Hymanson, A. S., Isner, J. M., Bankoff, M. S., Konstam, M. A. (1985). Congenital pericardial defect diagnosed by computed tomography. Cathetherization and Cardiovascular Diagnosis, 11, 75–79. [Google Scholar] [PubMed]
57. Candan, I., Erol, C., Sonel, A. (1986). Cross sectional echocardiographic Appearance in presumed congenital absence of the left pericardium. British Heart Journal, 55, 405–407. [Google Scholar] [PubMed]
58. Burrows, P. E., Smallhorn, J. S., Trusler, G. A., Daneman, A., Moes, C. A. et al. (1987). Partial absence of the left parietal pericardium with herniation of the left atrial appendage: Diagnosis by cross-sectional echocardiography and contrast-enhanced computed tomography. Pediatric Cardiology, 8, 205–208. [Google Scholar] [PubMed]
59. Dickey, W., McDowell, R. F., Logan, K. R. (1988). Congenital absence of the left pericardium. Ulster Medical Journal, 57, 90–92. [Google Scholar] [PubMed]
60. ChapmanJr, J. E., Rubin, J. W., Gross, C. M., Janssen, M. E. (1988). Congenital absence of pericardium: An unusual cause of atypical angina. Annals of Thoracic Surgery, 45, 91–93. [Google Scholar] [PubMed]
61. Amiri, A., Weber, C., Schlosser, V., Meinertz, T. H. (1989). Coronary artery disease in a patient with a congenital pericardial defect. Thoracic and Cardiovascular Surgery, 37, 379–381. [Google Scholar]
62. Gehlmann, H. R., van Ingen, G. J. (1989). Symptomatic congenital complete absence of the left pericardium. Case report and review of the literature. European Heart Journal, 10, 670–675. [Google Scholar] [PubMed]
63. Altman, C. A., Ettedgui, J. A., Wozney, P., Beerman, L. B. (1989). Noninvasive diagnostic features of partial absence of the pericardium. American Journal of Cardiology, 63, 1536–1537. [Google Scholar] [PubMed]
64. Vesely, T., Julsrud, P. R. (1989). Congenital absence of the pericardium and its relationship to the ligamentum arteriosum. Surgical and Radiologic Anatomy, 11, 171–175. [Google Scholar] [PubMed]
65. Fox, J. E., Gloster, E. S., Mirchandani, R. (1988). Trisomy 18 with cantrell pentalogy in a stillborn infant. American Journal of Medical Genetics, 31, 391–394. [Google Scholar] [PubMed]
66. Finet, G., Bozio, A., Frieh, J. P., Cordier, J. F., Celard, P. (1991). Herniation of the left atrial appendage through a congenital partial pericardial defect. European Heart Journal, 12, 1148–1149. [Google Scholar] [PubMed]
67. Lonský, V., Stĕtina, M., Habal, P., Marková, D. (1992). Congenital absence of the left pericardium in combination with left pulmonary artery hypoplasia, right aortic arch, and secundum atrial septal defect. Thoracic and Cardiovascular Surgery, 40, 155–157. [Google Scholar]
68. Di Pasquale, G., Ruffini, M., Piolanti, S., Gambari, P. I., Roversi, R. et al. (1992). Congenital absence of pericardium as unusual cause of T wave abnormalities in a young athlete. Clinical Cardiology, 15, 859–861. [Google Scholar] [PubMed]
69. van Son, J. A., Danielson, G. K., Callahan, J. A. (1993). Congenital absence of the pericardium: Displacement of the heart associated with tricuspid insufficiency. Annals of Thoracic Surgery, 56, 1405–1406. [Google Scholar] [PubMed]
70. Adebo, O. A., Arowolo, F. A., Osinowo, O., Sodeinde, O. (1993). Ectopia cordis in a nigerian child. West Africa Journal of Medicine, 12, 233–235. [Google Scholar] [PubMed]
71. Van Son, J. A., Danielson, G. K., Schaff, H. V., Mullany, C. J., Julsrud, P. R. et al. (1993). Congenital partial and complete absence of the pericardium. Mayo Clinic Proceedings, 68, 743–747. [Google Scholar] [PubMed]
72. Boscherini, B., Galasso, C., Bitti, M. L. (1994). Abnormal face, congenital absence of the left pericardium, mental retardation, and growth hormone deficiency. American Journal of Medical Genetics, 49, 111–113. [Google Scholar] [PubMed]
73. Rais-Bahrami, K., Granholm, T., Short, B. L., Eichelberger, M. R. (1995). Absence of pericardium in an infant with congenital diaphragmatic hernia. American Journal of Perinatology, 12, 172–173. [Google Scholar] [PubMed]
74. Hammoudeh, A. J., Kelly, M. E., Mekhjian, H. (1995). Congenital total absence of the pericardium: Case report of a 72-year-old man and review of the literature. Journal of Thoracic and Cardiovascular Surgery, 109, 805–807. [Google Scholar] [PubMed]
75. Jacob, J. L., Souza Júnior, A. S., Parro Júnior, A. (1995). Absence of the left pericardium diagnosed by computed tomography. International Journal of Cardiology, 47, 293–296. [Google Scholar] [PubMed]
76. Lu, C., Ridker, P. M. (1994). Echocardiographic diagnosis of congenital absence of the pericardium in a patient with VATER association defects. Clinical Cardiology, 17, 503–504. [Google Scholar] [PubMed]
77. Ferrante, A., Pedi, C., Cusumano, S., Malfitano, D. (1994). Agenesia del pericardio sinistro: Descrizione di un caso. Giornale Italiano di Cardiologia, 24, 1121–1124. [Google Scholar] [PubMed]
78. Gersbach, P., Kaufmann, U., Althaus, U. (1996). Congenital absence of the left pericardium with extreme intrathoracic displacement of the heart. Case report and review of the literature. European Journal of Cardiothoracic Surgery, 10, 473–476. [Google Scholar] [PubMed]
79. Vanderheyden, M., de Sutter, J., Nellens, P., D’Haenens, P., Andries, E. (1996). Herniation of the left atrial appendage due to partial congenital absence of the left pericardium. Acta Clinica Belgica, 51, 91–93. [Google Scholar] [PubMed]
80. Scapellato, F., Imparato, A., Brunetto, A., Temporelli, P. L., Giannuzzi, P. (1996). Un caso paradigmatico di agenesia parziale del pericardio. Giornale Italiano di Cardiologia, 26, 1187–1193. [Google Scholar] [PubMed]
81. Pickhardt, P. J. (1998). Congenital absence of the pericardium confirmed by spontaneous pneumothorax. Clinical Imaging, 22, 404–407. [Google Scholar] [PubMed]
82. Gatzoulis, M. A., Munk, M. D., Merchant, N., van Arsdell, G. S., McCrindle, B. W. et al. (2000). Isolated congenital absence of the pericardium: Clinical presentation, diagnosis, and managementl. Diagnosis, and Management. Annals of Thoracic Surgery, 69, 1209–1215. [Google Scholar] [PubMed]
83. Gregori, F.Jr, Cordeiro, C. O., Croti, U. A., Gregori, T. E., Moure, O. (2000). Heart transplant in a patient with complete absence of the pericardium. Arquivos Brasileiros de Cardiologia, 75, 249–252. [Google Scholar] [PubMed]
84. Raman, S. V., Daniels, C. J., Katz, S. E., Ryan, J. M., King, M. A. (2001). Congenital absence of the pericardium. Circulation, 104, 1447–1448. [Google Scholar] [PubMed]
85. Ratib, O., Perloff, J. K., Williams, W. G. (2001). Congenital complete absence of the pericardium. Circulation, 103, 3154–3155. [Google Scholar] [PubMed]
86. Puvabanditsin, S., Garrow, E., Biswas, A., Davydov, A., Gomez, M. et al. (2003). Congenital partial pericardial defect in a neonate: A case report. American Journal of Perinatology, 20, 121–123. [Google Scholar] [PubMed]
87. Aggarwal, A., Battle, R. W. (2002). Congenital absence of the left pericardium. Lancet, 360, 2038. [Google Scholar] [PubMed]
88. Messner, G. N., Prendergast, P., Wadia, Y., Chu, T., Gregoric, I. D. et al. (2004). Congenital absence of anterior pericardium at left ventricular assist device implantation. Texas Heart Institute Journal, 31, 87–89. [Google Scholar] [PubMed]
89. Yamano, T., Sawada, T., Sakamoto, K., Nakamura, T., Azuma, A. et al. (2004). Magnetic resonance imaging differentiated partial from complete absence of the left pericardium in a case of leftward displacement of the heart. Circulation Journal, 68, 385–388. [Google Scholar] [PubMed]
90. Abbas, A. E., Appleton, C. P., Liu, P. T., Sweeney, J. P. (2005). Congenital absence of the pericardium: Case presentation and review of literature. International Journal of Cardiology, 98, 21–25. [Google Scholar] [PubMed]
91. Goetz, W. A., Liebold, A., Vogt, F., Birnbaum, D. E. (2004). Tricuspid valve repair in a case with congenital absence of left thoracic pericardium. European Journal of Cardiothoracic Surgery, 26, 848–849. [Google Scholar] [PubMed]
92. Nisanoglu, V., Erdil, N., Battaloglu, B. (2005). Complete left-sided absence of the pericardium in association with ruptured type a aortic dissection complicated by severe left hemothorax. Texas Heart Institute Journal, 32, 241–243. [Google Scholar] [PubMed]
93. Dias, R. R., Albuquerque, J. M., Pereira, A. C., Stolf, N. A., Krieger, J. E. et al. (2007). Holt-oram syndrome presenting as agenesis of the left pericardium. International Journal of Cardiology, 114, 98–100. [Google Scholar] [PubMed]
94. Kohli, V., Nooreyazdan, S., Das, B. N., Kaul, S., Singh, J. et al. (2006). Surgical reconstruction for absence of sternum and pericardium in a newborn. Indian Journal of Pediatrics, 73, 367–368. [Google Scholar] [PubMed]
95. Nakashima, D., Nakaboh, A., Shinozuka, T., Hasegawa, K., Nakagawa, A. et al. (2007). A congenital absence of the pericardium diagnosed by echocardiography. International Journal of Cardiology, 118, e89–91. [Google Scholar] [PubMed]
96. Tan, R. S., Partridge, J., Ilsley, C., Mohiaddin, R. (2007). Familial complete congenital absence of the pericardium. Clinical Radiology, 62, 85–87. [Google Scholar] [PubMed]
97. Datta, G., Tambiah, J., Rankin, S., Herbert, A., Lang-Lazdunski, L. (2006). Atypical presentation of extralobar sequestration with absence of pericardium in an adult. Journal of Thoracic and Cardiovascular Surgery, 132, 1239–1240. [Google Scholar] [PubMed]
98. Brulotte, S., Roy, L., Larose, E. (2007). Congenital absence of the pericardium presenting as acute myocardial necrosis. Canadian Journal of Cardiology, 23, 909–912. [Google Scholar] [PubMed]
99. Scheuermann-Freestone, M., Orchard, E., Francis, J., Petersen, M., Friedrich, M. et al. (2007). Images in cardiovascular medicine. Partial congenital absence of the pericardium. Circulation, 116, e126–e129. [Google Scholar] [PubMed]
100. Murat, A., Artas, H., Yilmaz, E., Ogur, E. (2008). Isolated congenital absence of the pericardium. Pediatric Cardiology, 29, 862–864. [Google Scholar] [PubMed]
101. Rashid, A., Ahluwalia, G., Griselli, M., Scheuermann-Freestone, M., Neubauer, S. et al. (2008). Congenital partial absence of the left pericardium associated with tricuspid regurgitation. Annals of Thoracic Surgery, 85, 645–647. [Google Scholar] [PubMed]
102. Green, D. W., Meyers, B. F., Bhalla, S., Hall, B. L. (2007). Complete absence of the pericardium in a patient with multiple injuries. Journal of Trauma, 63, E66–68. [Google Scholar] [PubMed]
103. Psychidis-Papakyritsis, P., de Roos, A., Kroft, L. J. (2007). Functional MRI of congenital absence of the pericardium. American Journal of Roentgenology, 189, W312–W314. [Google Scholar] [PubMed]
104. Garnier, F., Eicher, J. C., Philip, J. L., Lalande, A., Bieber, H. et al. (2010). Congenital complete absence of the left pericardium: A rare cause of chest pain or pseudo-right heart overload. Clinical Cardiology, 33, E52–E57. [Google Scholar] [PubMed]
105. Razdan, R., Greenberg, S., Perez Lozada, J. C., Torstenson, G. (2009). Congenital complete absence of the pericardium mimicking myocardial infarction: A case report and literature review. Connecticut Medicine, 73, 585–588. [Google Scholar] [PubMed]
106. Spence, M. S., Byrne, J., Fretz, E. B. (2009). Isolated congenital absence of the pericardium. Clinical Cardiology, 32, E87. [Google Scholar] [PubMed]
107. Kargar, F., Aazami, M. H. (2009). Congenital partial absence of the left pericardium suspected on the classical chest X-ray. Heart Lung and Circulation, 18, 362–363. [Google Scholar]
108. Topilsky, Y., Tabatabaei, N., Freeman, W. K., Saleh, H. K., Villarraga, H. R. et al. (2010). Images in cardiovascular medicine. pendulum heart in congenital absence of the pericardium. Circulation, 121, 1272–1274. [Google Scholar] [PubMed]
109. Rafiq, S., Meldgaard, C. W., Buchvald, F., Brandt, B. (2010). Kongenit aplasi af det venstresidige perikardium. Ugeskrift for Læger, 172, 547–548. [Google Scholar]
110. Chassaing, S., Bensouda, C., Bar, O., Barbey, C., Blanchard, D. (2010). A case of partial congenital absence of pericardium revealed by MRI. Circulation Cardiovascular Imaging, 3, 632–634. [Google Scholar] [PubMed]
111. Huang, J., Slaughter, M. S. (2011). Congenital partial absence of the pericardium. Annals of Thoracic Surgery, 91, e28. [Google Scholar] [PubMed]
112. Mantovani, F., Barbieri, A., Modena, M. G. (2011). Congenital complete absence of the pericardium: A multimodality imaging diagnostic approach. Echocardiography, 28, E21–E22. [Google Scholar] [PubMed]
113. Kuwata, T., Fukuda, H., Yoshitatsu, M., Yamada, Y., Shibasaki, I. et al. (2011). Stanford type a acute aortic dissection with congenital complete absence of the left pericardium; report of a case. Kyobu Geka, 64, 406–409. [Google Scholar] [PubMed]
114. Kodde, J., Groothuis, J. G., Beek, A. M., van Rossum, A. C., (2011). Congenital absence of the pericardium. Netherland Heart Journal, 19, 486–487. [Google Scholar] [PubMed]
115. Jafarian, A. H., Omidi, A. A., Fazel, A., Sadeghian, H., Joushan, B. (2011). Pentalogy of cantrell: A case report. Journal of Research in Medical Sciences, 16, 105–109. [Google Scholar] [PubMed]
116. de Brabandere, K., Czapla, J., Callens, E., Wellens, F. (2012). Coronary artery bypass surgery in a patient with congenital absence of the left pericardium. European Journal of Cardiothoracic Surgery, 41, e65. [Google Scholar]
117. Muthialu, N., Kostolny, M., Rees, P. G. (2012). Phrenic nerve at greater risk: Congenital absence of pericardium exposing the nerve. Annals of Thoracic Surgery, 94, e27. [Google Scholar] [PubMed]
118. Steinberg, C., Pelletier, M. J., Perron, J., Kumar, A., Champagne, J. (2013). Sudden cardiac arrest due to subtotal absence of left-sided pericardium--case report and review of the literature. Congenital Heart Disease, 8, E92–E98. [Google Scholar]
119. Iannelli, M., di Carlo, D., Secinaro, A., Villani, A. (2012). A rare cause of chest pain: A partial congenital absence of the pericardium. European Journal of Cardiothoracic Surgery, 42, 1054. [Google Scholar] [PubMed]
120. Flosdorff, P., Paech, C., Riede, F. T., Dähnert, I. (2012). Odd acoustic window and elongated ventricles: Echocardiographic diagnosis of congenital absence of the pericardium. Pediatric Cardiology, 33, 1220–1221. [Google Scholar] [PubMed]
121. JurkoJr, A., Minarik, M., Cisarikova, V., Polacek, H., Schusterova, I. (2013). Congenital complete and partial absence of the left pericardium. Wiener Medizinische Wochenschrift, 163, 426–428. [Google Scholar] [PubMed]
122. Tamagond, S. B., Agarwal, S., Tomar, A. S., Satsangi, D. K. (2012). Lung herniation into pericardial cavity: A case of partial congenital absence of right pericardium. Annals of Pediatric Cardiology, 5, 213–214. [Google Scholar] [PubMed]
123. Steinberg, C., Pelletier, M. J., Champagne, J. (2012). Complete absence of precordial R waves due to absence of left-sided pericardium. Annals of Noninvasive Electrocardiology, 17, 401–404. [Google Scholar] [PubMed]
124. Tariq, S., Mahmood, S., Madeira, S., Tarasov, E. (2013). Congenital complete absence of pericardium masquerading as pulmonary embolism. Heart Views, 14, 29–32. [Google Scholar] [PubMed]
125. Juárez, A. L., Akerström, F., Alguacil, A. M., González, B. S. (2013). Congenital partial absence of the pericardium in a young man with atypical chest pain. World Journal of Cardiology, 5, 12–14. [Google Scholar]
126. Destefanis, P., Barbero, U., Luciano, A., Salvetti, I., Zingarelli, E. et al. (2013). The day when the echocardiographist went mushrooming. Journal of Echocardiography, 11, 18–19. [Google Scholar] [PubMed]
127. Azhar, I. O., Anas, R. (2013). Congenital absence of pericardium in babies with patent ductus arteriosus. Medical Journal of Malaysia, 68, 259–261. [Google Scholar] [PubMed]
128. Ekeke, C. N., Daniels, C., Raman, S. V., Hitchcock, C., Katz, S. E. et al. (2013). Annuloaortic ectasia in a patient with congenital absence of the left pericardium. Annals of Thoracic Surgery, 96, 2243–2245. [Google Scholar] [PubMed]
129. White, M. S., Bodiwala, K. N., Bailey, A. L., Sorrell, V. L. (2014). Symptomatic pericardial cyst in the presence of partial congenital absence of the pericardium. European Heart Journal Cardiovascular Imaging, 15, 531. [Google Scholar] [PubMed]
130. Hojjati, M. R., Rozo, J. C., Nazeri, A., Cheong, B. Y. (2013). A rare pairing: Myocardial noncompaction and congenital absence of pericardium. Texas Heart Institute Journal, 40, 500–501. [Google Scholar] [PubMed]
131. Kim, M. Y., Fairbairn, T. A., Liew, C. K., Chauhan, A. (2013). Complete congenital absence of the pericardium: An incidental finding. Journal of Cardiology Cases, 8, 148–150. [Google Scholar] [PubMed]
132. Kim, H. J., Cho, Y. S., Cho, G. Y., Choi, S. I. (2014). Congenital absence of the pericardium. Journal of Cardiovascular Ultrasound, 22, 36–39. [Google Scholar] [PubMed]
133. Reddy, C. S., Ali, S. N., Raamaanuhadaasudu, C. K., Parimi, S. S., Reddy, T. R. et al. (2013). Off-pump coronary artery bypass in congenital absence of pericardium. Asian Cardiovascular and Thoracic Annals, 21, 473–475. [Google Scholar] [PubMed]
134. Bueno Palomino, A., Palomar Estrada, A., Crespín Crespín, M., García Fuertes, D. (2014). Congenital complete absence of pericardium in a young woman with non-specific symptoms. Revista Portuguesa de Cardiologia, 33, 249.e1–249.e5. [Google Scholar] [PubMed]
135. Voon, V., Masood, F., Khattak, A., McWeeney, D., Gibney, B. et al. (2015). Pericardial absence--is symptomatic partial defect an enigmatic cardiovascular risk? Quarterly Journal of Medicine, 108, 733–734. [Google Scholar]
136. Marta, L., Ferreira, A. M., Santos, K. R. (2015). Congenital absence of pericardium: A nomad heart. Cardiology in the Young, 25, 1415–1417. [Google Scholar] [PubMed]
137. Sugiyama, A., Izumi, Y., Inoue, Y., Aoki, K., Fukuda, H. et al. (2016). Total absence of the pericardium incidentally found during surgery for spontaneous pneumothorax. General Thoracic and Cardiovascular Surgery, 64, 286–289. [Google Scholar] [PubMed]
138. Jeong, H. J., Seol, S. H., Seo, G. W., Seo, M. G., Park, B. M. et al. (2014). Congenital partial defect of the left pericardium presenting as chest pain. Heart Lung and Circulation, 23, e270–e272. [Google Scholar]
139. Tezcan, M., Aribal, S., Uz, O., Yalcin, M., Kardesoglu, E. (2015). A case of congenital complete absence of the pericardium. Kardiologia Polska, 73, 54. [Google Scholar] [PubMed]
140. Hiraoka, K., Yamazaki, S., Hosokawa, M., Suzuki, Y. (2015). Bronchogenic cyst associated with congenital absence of the pericardium. Journal of Surgical Case Reports, 2015, rjv052. [Google Scholar] [PubMed]
141. Valero, E., Ferrero, J. A., López-Lereu, M. P., Chorro, F. J. (2015). Symptomatic partial congenital absence of the pericardium revealed using cardiac magnetic resonance. Canadian Journal of Cardiology, 31, 1303e5–1303.e7. [Google Scholar]
142. Macaione, F., Barison, A., Pescetelli, I., Pali, F., Pizzino, F. et al. (2016). Quantitative criteria for the diagnosis of the congenital absence of pericardium by cardiac magnetic resonance. European Journal of Radiology, 85, 616–624. [Google Scholar] [PubMed]
143. Palau, P., Domínguez, E., García-González, P., Gallego, J., Bosch, M. J. et al. (2016). Isolated partial congenital absence of the pericardium: A familial presentation. Canadian Journal of Cardiology, 32, 1039e1–1039.e2. [Google Scholar]
144. Kim, M. J., Kim, H. K., Jung, J. H., Yoon, Y. E., Kim, H. L. et al. (2017). Echocardiographic diagnosis of total or left congenital pericardial absence with positional change. Heart, 103, 1203–1209. [Google Scholar] [PubMed]
145. Sani, Z. A., Savand-Roomi, Z., Vojdanparast, M., Sarafan, S., Seifi, A. et al. (2016). Congenital partial absence of the pericardium presenting with a rare concurrent abnormality of vascular ring diagnosed by cardiac magnetic resonance imaging. Advanced Biomedical Research, 5, 203. [Google Scholar] [PubMed]
146. Kim, H. J., Kwak, J. G. (2017). Indentation in the right ventricle by an incomplete pericardium on 3-dimensional reconstructed computed tomography. Korean Journal of Thoracic and Cardiovascular Surgery, 50, 298–299. [Google Scholar] [PubMed]
147. Symeonides, P. C. (2017). Sometimes surgery is the only way to make a diagnosis and treat the patient: A case of congenital partial absence of pericardium. European Journal of Case Reports in Internal Medicine, 4, 00593. [Google Scholar]
148. Foo, J. S., Koh, C. H., Sahlén, A., Tang, H. C., Lim, C. P. (2018). Congenital partial absence of pericardium: A mimic of arrhythmogenic right ventricular cardiomyopathy. Case Reports in Medicine, 2018, 4297280. [Google Scholar] [PubMed]
149. Santos, R. B., Sá, I., Kiesewetter, C., Trêpa, M., Torres, S. (2018). Complete absence of the pericardium in a competitive athlete. Kardiologia Polska, 76, 1744. [Google Scholar] [PubMed]
150. Ren, G., Juan, Y. H., Fei, H., Lin, Q., Paul, S. et al. (2018). Congenital absence of the pericardium and tricuspid regurgitation. Quarterly Journal of Medicine, 111, 895–897. [Google Scholar]
151. Benameur, N., Arous, Y., Landolsi, M., Chenik, S., Abdallah, N. B. et al. (2019). Partial congenital absence of the pericardium: A case report. Brazilian Journal of Cardiovascular Surgery, 34, 633–636. [Google Scholar] [PubMed]
152. Elbadawi, A., Baig, B., Alotaki, E., Khalid, H., Khan, M. (2019). Congenital absence of the pericardium: A rare and challenging diagnosis. Journal of the American Academy of Physician Assistants, 32, 37–39. [Google Scholar] [PubMed]
153. Kinuani, R., Bruyère, P. J., Schoysman, L., Kempeneers, C., Daron, B. et al. (2019). Total absence of the pericardium associated with hypogammaglobulinemia and bronchiectasis in a girl. Pediatric Reports, 11, 8250. [Google Scholar] [PubMed]
154. Vosko, I., Zhan, Y., Nabi, F., Zoghbi, W. A. (2019). Snoopy’s heart: A case of complete congenital absence of the pericardium. Methodist Debakey Cardiovascular Journal, 15, 226–227. [Google Scholar] [PubMed]
155. Jaglan, A., Leybishkis, B., Tajik, A. J. (2020). Topsy-turvy heart: A case of congenital absence of the pericardium. European Heart Journal of Cardiovascular Imaging, 21, 269. [Google Scholar]
156. Sergio, P., Bertella, E., Muri, M., Zangrandi, I., Ceruti, P. et al. (2019). Congenital absence of pericardium: Two cases and a comprehensive review of the literature. British Journal of Radiology Case Report, 5, 20180117. [Google Scholar]
157. Chance, T., Duerden, L., Rodrigues, J., Manghat, N. (2019). Absence does not make the heart grow fonder: An interesting case of partial pericardium. European Heart Journal Case Reports, 3, ytz126. [Google Scholar] [PubMed]
158. Tian, Z., Zhou, Y., Liu, H. (2019). Extralobar pulmonary sequestration with absence of pericardium and atrial septal defect in a woman. Journal of Cardiothoracic Surgery, 14, 113. [Google Scholar] [PubMed]
159. Sunny, J., Ranjadayalan, K., Herrey, A. S., Khanji, M. Y. (2020). Extreme electrocardiographic changes in congenital complete absence of pericardium with complex coronary artery disease: Multiparametric cardiovascular magnetic resonance imaging guiding diagnosis and treatment. European Heart Journal, 41, 3285. [Google Scholar] [PubMed]
160. Amado-Escañuela, M. G., Jiménez López-Guarch, C., Solís Martín, J. (2020). A heart within a heart: Partial absence of the pericardium. Revista Española de Cardiologia (English ed.), 73, 1062. [Google Scholar]
161. Yazdan-Ashoori, P., Jimenez-Juan, L., Pereira, L., Ahmed, S. (2020). It’s never too late: Spotting congenital absence of the pericardium in an older adult. Canadian Journal of Cardiology Open, 2, 702–704. [Google Scholar]
162. Iglesias, P. C., Pascual, E. A., de la Torre, L. A., Robinot, D. C., Vázquez, B. T. et al. (2021). Pericardial agenesis. Annals of Pediatric Cardiology, 14, 119–121. [Google Scholar] [PubMed]
163. Kaya, C., Zeybey, U., Altay, S., Emre Ustabasioglu, F. (2021). A rare case about pericardium: Left deviated heart and pericardial agenesis. Northern Clinics of Istanbul, 8, 193–195. [Google Scholar] [PubMed]
164. Zvizdic, Z., Sefic-Pasic, I., Mesic, A., Terzic, S., Vranic, S. (2021). The complete spectrum of pentalogy of cantrell in one of a set of dizygotic twins: A case report of a rare congenital anomaly. Medicine, 100, e25470. [Google Scholar] [PubMed]
165. Shakerian, B., Mandegar, M. H. (2021). Complete absence of the left pericardium and pulmonary hypoplasia in an adult. Sultan Qaboos University Medical Journal, 21, e329–e330. [Google Scholar] [PubMed]
166. Loo, G. H., Ismail, H., Ismail, M. I., Ali, Md N. A. B., Abdul Rahman, M. R. B. et al. (2021). Incidental finding of congenital pericardial defect during vats bullectomy. Tips and tricks to avoid blunder. Annals of Medicine and Surgery, 69, 102806. [Google Scholar] [PubMed]
167. Brunet-Garcia, L., Carretero Bellon, J. M., Pérez-Casares, A., Prada Martínez, F. H., Sánchez-de-Toledo, J. (2021). Partial absence of the pericardium: Only an incidental finding? Anales de Pediatria, S1695–4033(21)00192-2 (In Spanish). [Google Scholar]
168. El Khoury, A., Zayour, M., Hanna, C., Janji, M., Nasr, S. R. (2021). Congenital partial absence of pericardium in an elderly patient. Cureus, 13, e18437. [Google Scholar] [PubMed]
169. Izumoto, S., Oguri, N., Koyama, S., Matsuura, Y., Komatsu, H. (2021). Cardiac strangulation due to partial pericardial defect presenting as acute myocardial infarction. Journal of the American College of Cardiology Case Report, 3, 1635–1638. [Google Scholar]
170. Piron, S., Tridetti, J., Marchetta, S., Lancellotti, P. (2023). Freedom in the chest. Acta Cardiologica, 78, 459–462. [Google Scholar] [PubMed]
171. Aslan, E., Maslak, İ.C., Karabulut, N. (2021). Congenital absence of the pericardium. Türk Kardiyoloji Derneği Arşivi, 49, 696–697. [Google Scholar] [PubMed]
172. Kahyaoğlu, M., Geçmen, Ç. (2021). A case of congenital partial absence of the left pericardium presenting with atypical chest pain. Türk Kardiyoloji Derneği Arşivi, 49, 685–687. [Google Scholar] [PubMed]
173. Poskaite, P., Pölzl, G., Hangler, H., Mayr, A. (2021). Congenital absence of a left-sided pericardium. European Heart Journal Case Report, 5, ytab423. [Google Scholar]
174. Nicholas, J., Barber, E., Grondin, S., Haber, J. (2022). Congenital absence of the pericardium encountered during thoracoscopy. Canadian Journal of Anaesthesiology, 69, 898–899. [Google Scholar]
175. Risher, W. H., Rees, A. P., Ochsner, J. L., McFadden, P. M. (1993). Thoracoscopic resection of pericardium for symptomatic congenital pericardial defect. Annals of Thoracic Surgery, 56, 1390–1391. [Google Scholar] [PubMed]
176. Alyami, B., Alharbi, A., Alhajji, M., Gendi, S., Hamirani, Y. S. (2022). A case report of congenital absence of the pericardium that was diagnosed by cardiac computed tomography angiogram (CCTA). Radiology Case Reports, 17, 3380–3384. [Google Scholar] [PubMed]
177. Rayamajhi, S., Shrestha, R., Shahi, K., Adhikari, B., Mahaseth, A. (2022). Congenital pericardial agenesis presenting as non-specific chest pain: A case report. Radiology Case Reports, 17, 4462–4465. [Google Scholar] [PubMed]
178. Shen, T., Fang, H., Tang, T., Tang, H., Hu, X. et al. (2022). Case report: Delayed cardiac rupture with congenital absence of pericardium after blunt trauma. Frontiers in Cardiovascular Medicine, 9, 1079670. [Google Scholar] [PubMed]
179. Bersali, A., Nabi, F. (2023). Partial pericardial agenesis. Methodist Debakey CardioVascular Journal, 19, 108–110. [Google Scholar] [PubMed]
180. Li, X. Y., Jiang, Y., Li, H. W., Liu, Y. K., Bai, J. (2023). Congenital absence of the left pericardium: A case report. BioMed Central Cardiovascular Disorders, 23, 247. [Google Scholar] [PubMed]
181. Adomako, K. A., Tamatey, M. N., Offei-Larbi, G., Sereboe, L. A. K., Okyere, I. (2023). Traumatic rupture of anterolateral papillary muscle in a patient with congenital deficiency of left hemi-pericardium: Case report. Journal of Surgical Case Reports, 2023, rjad274. [Google Scholar] [PubMed]
182. Ruivo, C., Ladeiras-Lopes, R., Faria, R., Ferreira, N., Gama, V. (2018). Left-side pericardial agenesis: Putting the pieces together. Echocardiography, 35, 420–422. [Google Scholar] [PubMed]
183. Armoni-Domany, K., Kapusta, L., Sivan, Y., Gut, G., Rotstein, A. et al. (2016). Is this heart normal? American Journal of Respiratory and Critical Care Medicine, 194, 1546–1547. [Google Scholar] [PubMed]
184. Pedrotti, P., Peritore, A., Cereda, A., Giannattasio, C., Imazio, M. (2016). Total pericardial agenesis mimicking arrhythmogenic right ventricular dysplasia. Journal of Cardiovascular Medicine, 17, e216–e217. [Google Scholar] [PubMed]
185. Laredo, M., Duthoit, G., Gandjbakhch, E., Redheuil, A., Hébert, J. L. (2018). Total pericardium agenesis mistaken for arrhythmogenic right ventricular cardiomyopathy. European Heart Journal Cardiovascular Imaging, 19, 120. [Google Scholar] [PubMed]
186. Iijima, Y., Ishikawa, M., Iwai, S., Yamagata, A., Motono, N. et al. (2021). Congenital partial pericardial defect discovered incidentally during surgery for lung cancer: A case report and literature review. BioMed Central Surgery, 21, 447. [Google Scholar] [PubMed]
187. Sakaguchi, Y., Matsumoto, K. (2019). Lobectomy for lung cancer with congenital pericardial defect. Annals of Thoracic Surgery, 108, e37–e38. [Google Scholar] [PubMed]
188. Bernardinello, V., Cipriani, A., Perazzolo Marra, M., Motta, R., Barchitta, A. (2020). Congenital pericardial agenesis in asymptomatic individuals: Tips for the diagnosis. Circulation Cardiovascular Imaging, 13, e010169. [Google Scholar] [PubMed]
189. Khayata, M., Alkharabsheh, S., Shah, N. P., Verma, B. R., Gentry, J. L. et al. (2020). Case series, contemporary review and imaging guided diagnostic and management approach of congenital pericardial defects. Case series. Open Heart, 7, e001103. [Google Scholar] [PubMed]
190. Cho, H., Kang, E. J., Kim, M. S., Jeong, S., Lee, K. N. (2021). Incidentally detected pericardial defect in a patient with pneumothorax as confirmed on video-assisted thoracoscopic surgery. Taehan Yongsang Uihakhoe Chi, 82, 749–755. [Google Scholar] [PubMed]
191. Perna, G. (1910). Sopra un arresto di sviluppo della sierosa pericardica nell’uomo. Anatomischer Anzeiger, 35, 323–338. [Google Scholar]
192. Koo, C. W., Newburg, A. (2015). Congenital absence of the right pericardium: Embryology and imaging. Journal of Clinical Imaging Science, 5, 12. [Google Scholar] [PubMed]
193. Kaneko, Y., Okabe, H., Nagata, N. (1998). Complete left pericardial defect with dual passage of the phrenic nerve: A challenge to the widely accepted embryogenic theory. Pediatric Cardiology, 19, 414–417. [Google Scholar] [PubMed]
194. Mercuro, G., Bassareo, P. P., Mariucci, E., Deidda, M., Zedda, A. M. et al. (2014). Sex differences in congenital heart defects and genetically induced arrhythmias. Journal of Cardiovascular Medicine, 15, 855–863. [Google Scholar] [PubMed]
195. Beppu, S., Naito, H., Matsuhisa, M., Miyatake, K., Nimura, Y. (1990). The effects of lying position on ventricular volume in congenital absence of the pericardium. American Heart Journal, 120, 1159–1166. [Google Scholar] [PubMed]
196. Panagiotopoulos, N., Barnard, J., Wells, F. (2014). The snoopy sign. European Journal of Cardiothoracic Surgery, 45, 586. [Google Scholar] [PubMed]
197. Connolly, H. M., Click, R. L., Schattenberg, T. T., Seward, J. B., Tajik, A. J. (1995). Congenital absence of the pericardium: Echocardiography as a diagnostic tool. Journal of the American Society of Echocardiography, 8, 87–92. [Google Scholar] [PubMed]
198. Shah, A. B., Kronzon, I. (2015). Congenital defects of the pericardium: A review. European Heart Journal Cardiovascular Imaging, 16, 821–827. [Google Scholar] [PubMed]
199. Bogaert, J., Francone, M. (2013). Pericardial disease: Value of CT and MR imaging. Radiology, 267, 340–356. [Google Scholar] [PubMed]
200. Clover, L. B., Barcia, A., Reeves, T. J. (1969). Congenital absence of the pericardium. A review of the literature with demonstration of a previously unreported fluoroscopic finding. American Journal of Roentgenology, 106, 542–549. [Google Scholar]
201. Rusk, R. A., Kenny, A. (1999). Congenital pericardial defect presenting as chest pain. Heart, 81, 327–328. [Google Scholar] [PubMed]
202. Piras, A., Melis, G., Cugusi, L., Bassareo, P. P. (2022). Myopericarditis in a male adolescent following the second shot of COVID-19 pfizer m-RNA vaccine: Typical example and analysis of 110 single case reports. Pediatric Reports, 14, 401–409. [Google Scholar] [PubMed]
Cite This Article
Copyright © 2023 The Author(s). Published by Tech Science Press.This work is licensed under a Creative Commons Attribution 4.0 International License , which permits unrestricted use, distribution, and reproduction in any medium, provided the original work is properly cited.


Submit a Paper
Propose a Special lssue
View Full Text
Download PDF
Downloads
Citation Tools